LUVE ONDA Lifting
온다리프팅
LUVE ONDA Lifting
즉각적인 타이트닝 효과와
지속적인 변화
고주파 & 초음파의 영역을 넘어선,
극초단파(Microwave) 레이저 리프팅을 만나다.

LUVE ONDA Lifting

극초단파 온다리프팅

온다 리프팅, 조용하고 강력하다.

이탈리아 DEKA사의 ONDA 리프팅은 고주파(RF), 초음파(HIFU)를 대신하는, 극초단파(Microwave)를 사용하는 레이저입니다.
표피에서의 에너지 손실을 줄여, 피부 깊은 층에 효율적인 열에너지 전달이 가능해 통증이 낮고 강력한 효과가 특징입니다.

LUVE ONDA Lifting

새로운 리프팅
온다리프팅의 장점

온다리프팅은 극초단파라는 새로운 시스템의 리프팅 시술로
고주파, 초음파 리프팅의 장점을 한번에 기대할 수 있습니다.

특허받은 극초단파 기술
특허받은 Microwave 기술로 조직에 균일한 열 전달
즉각적인 리프팅 효과
지속적인 콜라겐 리모델링 및 리프팅 및 타이트닝 효과
비교적 낮은 통증
무통증에 가까운 통증 정도를 자랑합니다.
빠른 일상 복귀
피부 겉손상률이 낮아 즉시 일상 복귀 가능

LUVE ONDA Lifting

2가지 핸드피스,
2가지 효과

탄력개선용

3mm 핸드피스

표피층과 진피층의 콜라겐 자극을 통한 수축을 유도하여 즉각적인 타이트닝 효과를 가져옵니다.

지방감소용

7mm 핸드피스

지방 세포를 가열하여 분해를 통해, 콜라겐을 녹여 섬유아세포를 자극하여 콜라겐을 생성을 유도합니다.

LUVE ONDA Lifting

ONDA가 가진 새로운 타이트닝 기술력

POINT 01

극초단파를 사용한 COOLWAVES 기술

탑재된 냉각 시스템을 통해 표피의 손상없이 빠르고 정밀하게 깊숙한 진피층과 지방층까지 열에너지를 전달하여 콜라겐 재생, 지방세포 사멸효과를 만들어냅니다.

POINT 02

쿨링시스템 및 적은통증

핸드피스 접촉 표면 쿨링시스템으로 인해 표피 자극이 적은 것이 특징입니다. 강한 열에너지를 줌과 동시에 표면에는 쿨링기능이 추가되기 때문에 높은 온도지만 통증이 거의 없는 프리미엄 리프팅입니다.

LUVE ONDA Lifting

새로운 개념의 리프팅 ONDA

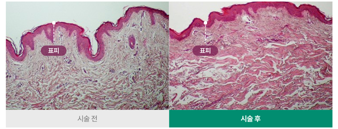
LUVE ONDA Lifting

온다리프팅을 통한 
콜라겐 활성 변화

LUVE ONDA Lifting

온다리프팅,
이런 분께 추천합니다.

  • 1처진 볼살, 탄력 없이 늘어진 턱선이 고민인 경우
  • 2불필요한 얼굴 지방을 제거하고 싶은 경우
  • 3즉각적인 효과의 리프팅을 원하시는 분
  • 4통증 걱정 없는 리프팅 시술을 받고 싶은 경우
LUVE ME MORE LUVE ME MORE LUVE ME MORE LUVE ME MORE LUVE ME MORE LUVE ME MORE LUVE ME MORE LUVE ME MORE LUVE ME MORE LUVE ME MORE LUVE ME MORE LUVE ME MORE LUVE ME MORE LUVE ME MORE LUVE ME MORE LUVE ME MORE LUVE ME MORE LUVE ME MORE LUVE ME MORE LUVE ME MORE LUVE ME MORE LUVE ME MORE LUVE ME MORE LUVE ME MORE LUVE ME MORE LUVE ME MORE LUVE ME MORE LUVE ME MORE LUVE ME MORE LUVE ME MORE LUVE ME MORE LUVE ME MORE LUVE ME MORE LUVE ME MORE LUVE ME MORE
빠른상담문의